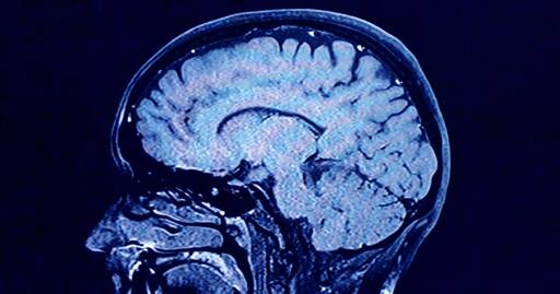
During each of these phases, our brains show markedly different characteristics in brain architecture, according to the new findings.
As we age, the human brain rewires itself. The process happens in distinct phases, or “epochs,” according to new research, as the structure of our neural networks changes and our brains reconfigure how we think and process information.
For the first time, scientists say they’ve identified four distinct turning points between those phases in an average brain: at ages 9, 32, 66 and 83. During each epoch between those years, our brains show markedly different characteristics in brain architecture, they say.
The findings, published Tuesday in the journal Nature Communications, suggest that human cognition does not simply increase with age until a peak, then decline. In fact, the phase from ages 9 to 32 is the only time in life when our neural networks are becoming increasingly efficient, according to the research.
During the adulthood phase, from 32 to 66, the average person’s brain architecture essentially stabilizes without major changes, at a time when researchers think people are generally plateauing in intelligence and personality.


I remember someone saying “middle age” is 35 to 65. Turns out that they were right.
I can assure you the body fails between 35 and 65…
Like, this is just about the brain. Middle age does not last until 65 unless you’re dividing a lifetime into three separate chunks and saying a 2 year old and a 33 year old are in the same group.
Which is fucking ridiculous, but boomers didn’t want to ever admit they were aging, so were left with entirely stupid concepts like “middle age” lasting until you retire.
That’s not based on anything scientific, just Boomer’s feelings.
I can assure you that’s normal middle age bullshit.
Source: Am middle aged and no longer spring back from injuries like I used to despite being in fairly good shape, eating well, and getting regular physical activity.
Take care of yourselves kids!
Hell I’m not even in that age group yet and I can already tell I’d die if I fell down the stairs. Meanwhile the kids in my neighborhood play chicken with busses
I got a major hit at 54… I got hit by andropause :-/
I don’t blame them . I’m gonna be middle aged until I can’t hide that I’m not that young anymore.